1927 E. Beltline Rd, Suite #130, Carrollton, TX 75006
972.416.1360
Book Appointment
Primary Menu
Home
About
Our Office
Team Member
Dental Insurance Plans
Our Services
Kids and Adult General Dentistry
Braces & Clear Correct
Veneers/Lumineers
Dental Implants
Wisdom Teeth Extraction
Emergency Dentistry
Crown & Bridge
Denture
Root Canals
Teeth Whitening
More
Office Tour
Testimonials
FAQ
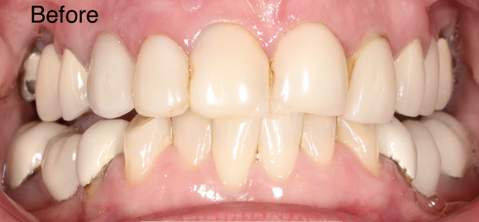
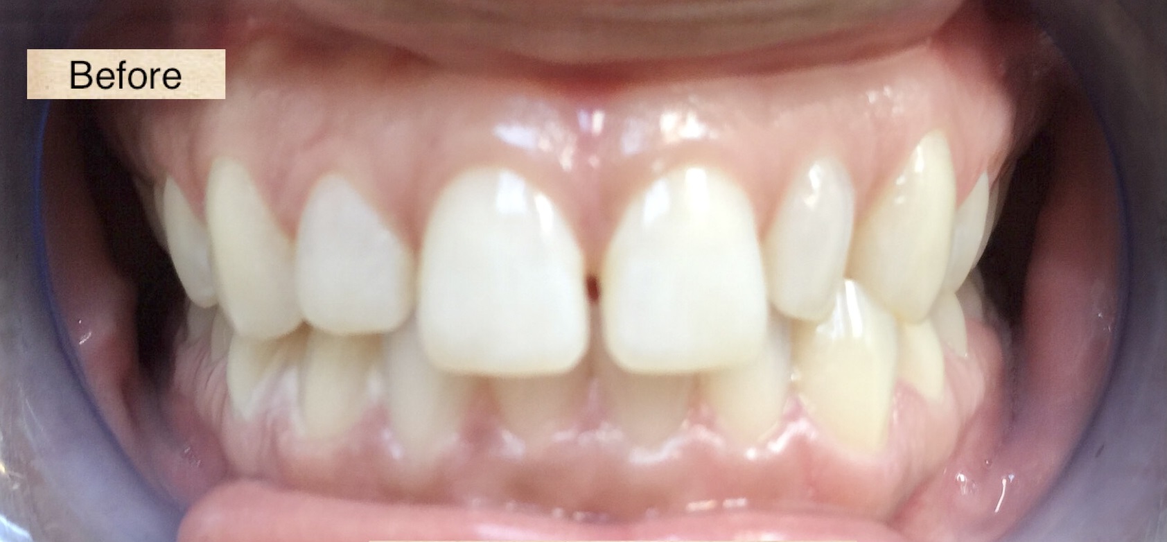
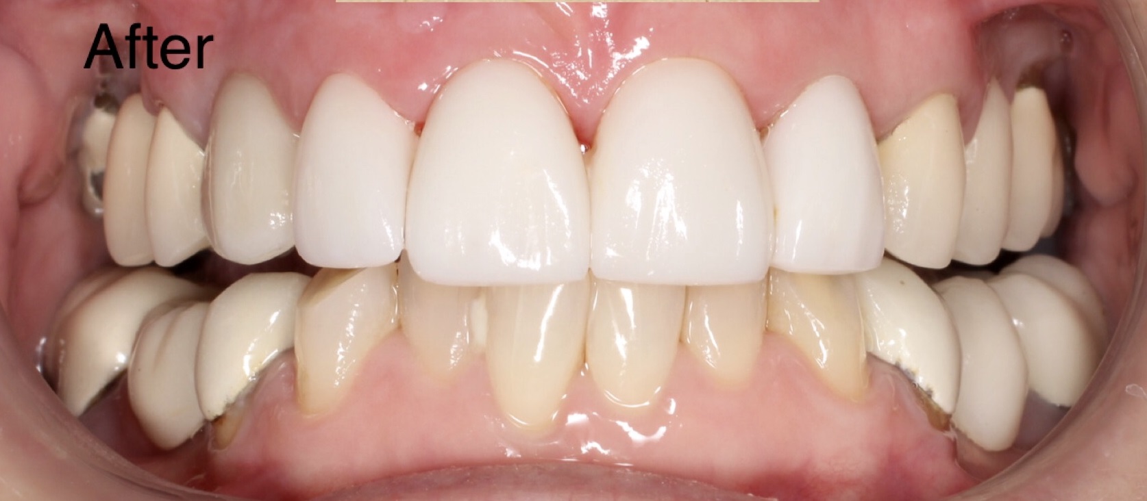
Before – After
Appointment
Before – After
Home
Before – After